Obecnie pusty: 0,00 zł
Lek. dent. Wojciech Gruszka
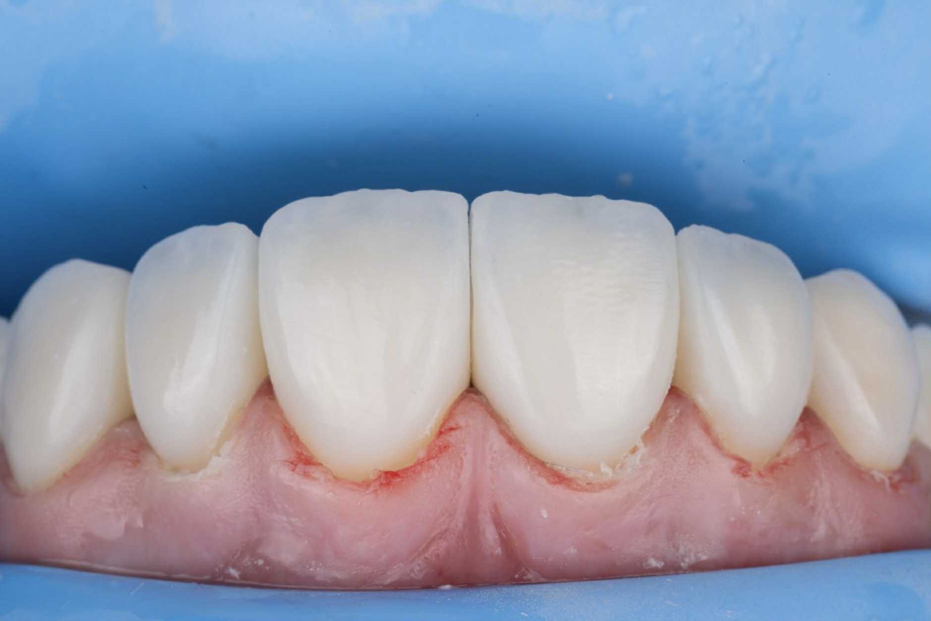
Efektywne odbudowy odcinka przedniego w codziennej praktyce.
Dostęp na 6 miesięcy do nagrania, aby w dowolnym momencie wrócić do materiału i utrwalić zdobytą wiedzę.
-
2-3h intensywnego szkolenia Skondensowana wiedza ekspercka
-
6 miesięcy dostępu do nagrania Ucz się w swoim tempie
-
Ekskluzywna sesja Q&A na żywo Bezpośredni kontakt z ekspertem
-
Zestaw unikalnych materiałów Checklisty i szablony do praktyki
-
Certyfikat ukończenia Potwierdzenie zdobytych umiejętności



